Set 01
Express
01
75€
Sesión de 15 minutos
- ›Hasta 5 tonos más blanco
- ›Resultado rápido y fresco
- ›Efecto dura hasta 3 meses

Estudio de Blanqueamiento Cosmético

¿Quieres una sonrisa más brillante? Reserva una sesión de blanqueamiento cosmético de 60 minutos.
Llámanos¿Quieres una sonrisa más brillante? Reserva una sesión de blanqueamiento cosmético de 60 minutos.
Llámanos
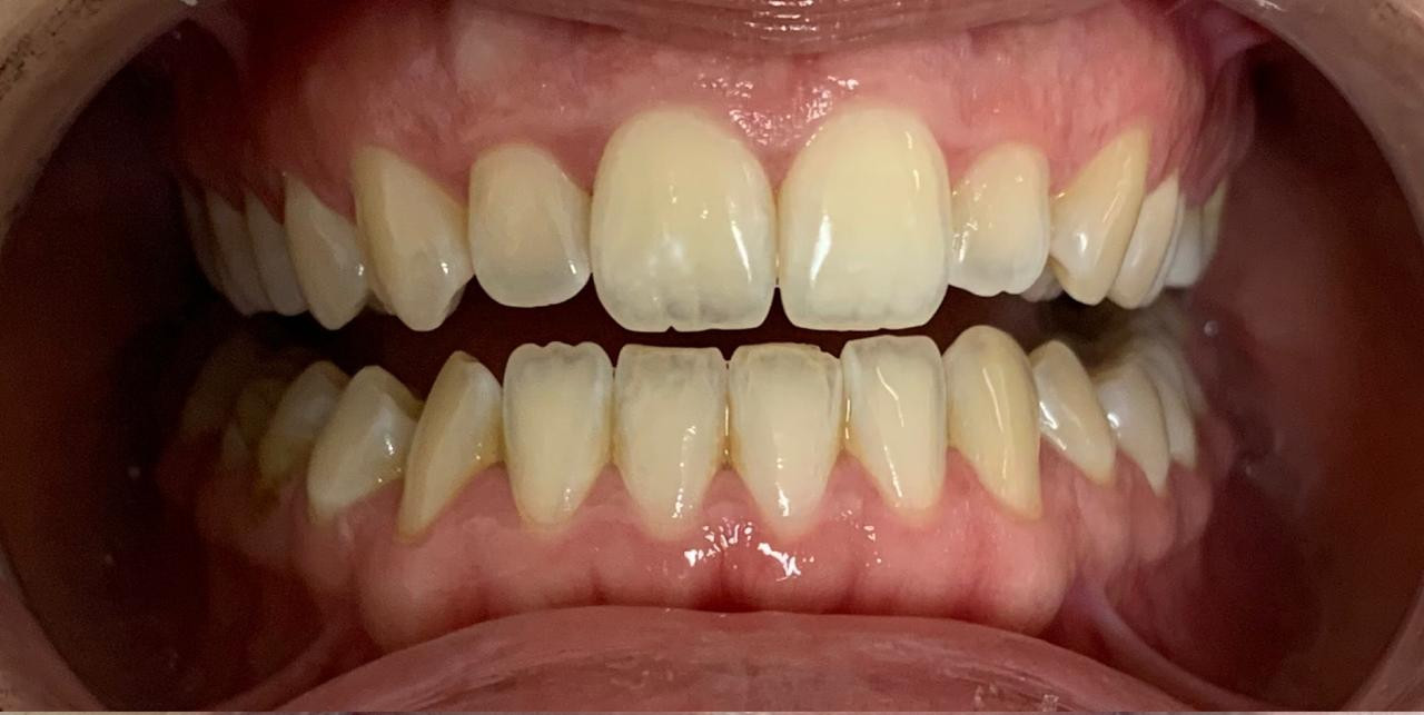
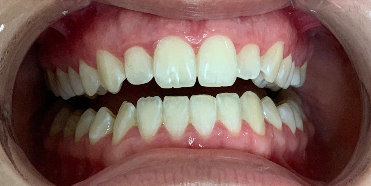
Momentos reales de visitas reales — rápido, sin dolor y brillante desde el primer minuto. Mira lo que pueden hacer 60 minutos.
Precios
Tres sesiones, tres niveles de brillo — elige la que mejor se adapte al momento. Cada set es seguro para el esmalte y se realiza con gel certificado y luz LED fría.
Sesión de 15 minutos
Sesión de 30 minutos
Sesión de 45 minutos
Reserva tu sesión de blanqueamiento hoy — verás resultados desde la primera visita.